In der Abteilung der bildgebenden Diagnostik können wir durch modernste Verfahren und entsprechend qualifiziertes Personal eine umfassende und sorgfältige Diagnostik durchführen.
Uns stehen Röntgen- und Ultraschallgeräte, sowie ein MRT und ein CT zur Verfügung.
Röntgen
In unserer Klinik sind sowohl mobile Röntgengeräte als auch eine stationäre Röntgenanlage mit 2 Röhren vorhanden. Im Gegensatz zu den mobilen Röntgengeräten, arbeiten die stationären Röntgenröhren mit einer deutlich höheren Stromspannung, so dass Aufnahmen der Halswirbelsäule, des Rückens, der Lunge und des Hüftgelenkes von hoher Qualität angefertigt werden können. Zudem werden digitale Röntgenkassetten verwendet, so dass die erstellte Aufnahme innerhalb von Sekunden auf einem Bildschirm sichtbar wird.




- Röntgenbilder des Hüftgelenkes können in der Klinik für Pferde am stehenden, sedierten Patienten angefertigt werden.

- Mit der stationären Röntgenanlage sind gute Aufnahmen der unteren Hals- und vorderen Brustwirbelsäule möglich.
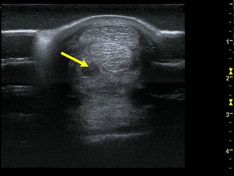
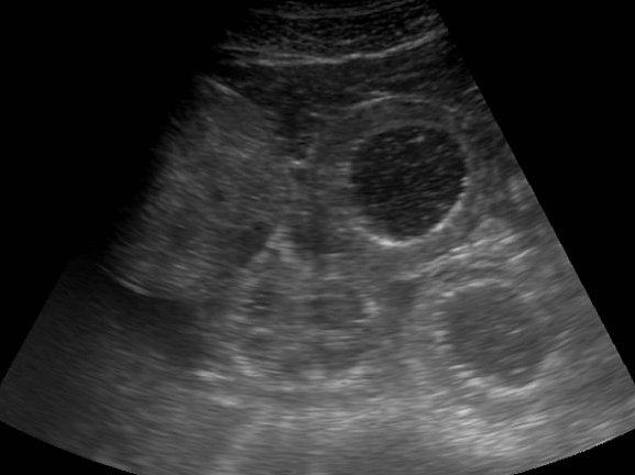
Ultraschall
Die ultrasonographische Untersuchung findet in der Pferdemedizin ein vielfältiges Einsatzgebiet, da sie für die Darstellung von Weichteilstrukturen wie z.B. Sehnen, Bändern, Darm und Organen wie Herz und Nieren besonders geeignet ist. Die Klinik für Pferde verfügt über mehrere hochmoderne Ultraschallgeräte, die für spezielle Fragestellungen (z.B. Herzultraschall oder Sehnenerkrankung) zur Verfügung stehen.
Deshalb wird die Ultraschalluntersuchung sowohl in der Inneren Medizin als auch in der Orthopädie täglich als bildgebendes Verfahren eingesetzt. Im Gegensatz zum Röntgen arbeitet die Ultraschalluntersuchung mit Schallwellen und nicht mit Röntgenstrahlung, so dass ihr Pferd keiner Strahlenbelastung ausgesetzt ist. Meist ist auch keine Sedation notwendig, jedoch muss häufig eine Schur des Haarkleides an den zu untersuchenden Bereichen vorgenommen werden, um eine bessere Bildqualität zu erhalten.





Computertomographie – CT

- Die Computertomographie ist eine spezielle Röntgen- Untersuchung. Eine Röntgenröhre rotiert während der Untersuchung um den Körper und der Computer setzt aus diesem Datensatz ein dreidimensionales Bild zusammen.

- Die Klinik für Pferde der TiHo Hannover besitzt einen CT mit einem sehr großen Durchmesser (85 cm), so dass bei Pferden Aufnahmen vom Kopf, der Halswirbelsäule und den Gliedmaßen einschließlich des Kniegelenkes durchgeführt werden können.
- Für die Positionierung während der Untersuchung auf dem Pferdetisch ist eine Allgemeinanästhesie notwendig, die von spezialisierten Tierärztinnen durchgeführt wird.

- Die CT Untersuchung der Halswirbelsäule liefert überlagerungsfreie Bilder der Gelenke. Mit einer Kontrastmitteluntersuchung (Myelographie) kann untersucht werden, ob eine Einengung der Nervenfasern oder des Halsmarkes vorliegt.

- Durch die CT Untersuchung können Befunde, die auf dem Röntgenbild nicht eindeutig zu erkennen sind, offensichtlich werden.

- Aufgrund der Größe des CT Gerätes der Klinik für Pferde sind auch Aufnahmen der Kniegelenke möglich.

- Die CT Untersuchung ist auch im Bereich des Pferdekopfes sehr hilfreich. Besonders Zahnerkrankungen und Infektionen der Nasennebenhöhlen können mit der CT Untersuchung diagnostiziert werden.

- Die Halswirbelsäule des Pferdes kann vollständig im CT untersucht werden.

- Die Rekonstruktion des CT´s ermöglicht eine genaue Knochendarstellung. Im Bild ist ein Keratom im Hufbein eines Pferdes dargestellt, dass zu einer kreisrunden Läsion geführt hat.
Magnetresonanztomographie - MRT

- Bei der Magnetresonanztomographie werden Schnittbilder von Organen und Gewebe durch Magnetfelder und Radiowellen gemacht. Das MRT-Gerät besteht aus einer Röhre. In dieser Röhre werden durch das Magnetfeld und die Radiowellen die Wasserstoffatome im Körper des Pferdes ausgerichtet und die Signale gemessen.
- Die Klinik für Pferde nutzt das Hochfeld MRT (3Tesla) der Kleintierklinik für die Untersuchungen. Deshalb entstehen Bilder von sehr guter Bildqualität. Allerdings ist dafür eine Narkose des Pferdes notwendig.
- Es können sowohl die Zehen, als auch Vorderfußwurzelgelenk, Sprunggelenk und das Gehirn untersucht werden.
Weitere Informationen finden Sie hier:


